40Cr鋼大扁頭方頸螺栓頭部裂紋失效分析
大扁頭方頸螺栓,規格為M16×25,材料40Cr鋼,在冷鐓工序檢查中,發現冷鐓后頭部開裂,停止冷鐓后分析開裂原因。
16.5.1 試驗過程與結果
冷鐓后頭部開裂螺栓檢查,螺栓頭部開裂均產生于頭部邊沿,外大內小,由表向內擴展,見圖16-23。
圖16-23 頭部開裂宏觀形貌
取1件無裂紋件(1#),兩件頭部開裂件(2#,3#)進行分析,3件試驗件的宏觀形貌如圖16-24。
圖16-24 未開裂件和開裂件宏觀形貌
1#件螺栓,表面無明顯缺陷,未發現裂紋。
2#、3#螺栓桿部未發現有折疊、拉痕、裂紋等缺陷;螺栓的頭部裂紋與螺栓軸線呈一定角度向內擴展,其中2#螺栓的頭部裂紋口有輕微擴展; 3#螺栓的頭部裂紋口有較大擴展,見圖16-25;
圖16-25 螺栓頭部開裂處宏觀形貌
(1)掃描電鏡觀察
對2#、3#螺栓的裂紋進行掃描電鏡微觀形貌觀察:
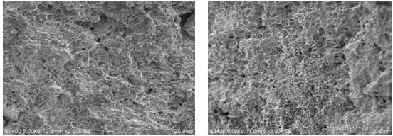
2#螺栓裂紋兩側的韌窩方向相反,表現為撕裂韌窩特征,見圖16-26、圖16-27。
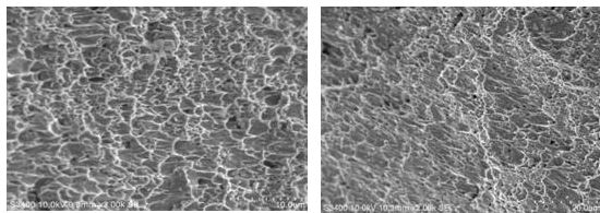
3#螺栓裂紋兩側微觀形貌與2#螺栓裂紋相同,為典型的撕裂韌窩形貌,見圖16-28、圖16-29。其中,對3#螺栓裂紋起源觀察,未發現夾雜等缺陷,斷裂形貌為塑性韌窩形貌,見圖16-30。
圖16-26 2#螺栓裂紋兩側微觀形貌 圖16-27 2#螺栓裂紋兩側微觀形貌
圖16-28 3#螺栓裂紋兩側微觀形貌 圖16-29 3#螺栓裂紋兩側微觀形貌
圖3 裂紋微觀形貌
圖16-30 裂紋起源處微觀形貌
(2)金相組織檢查
分別對1#、2#和3#螺栓進行
3#
金相組織檢查,依據《JB/T 5074-2007》標準的球化體評級:1#螺栓的顯微組織為均勻分布的球狀珠光體+鐵素體,球化體可評為6級,見圖16-31。
2#和3#螺栓的顯微組織基本相同,為球狀珠光體+點狀珠光體+片狀珠光體+鐵素體,球化體可評為4級,見圖16-32、圖16-33。
對3件螺栓表面進行酸浸試驗,未發現發紋等表面缺陷。
圖16-31 1#螺栓球化組織
圖16-32 2#螺栓球化組織
圖16-33 3#螺栓球化組織
(3)硬度檢測與化學成分分析
分別對3件螺栓的硬度進行檢測,檢測結果:
1#無裂紋螺栓硬度: 178~180 HV10;
2#有裂紋螺栓硬度:189~193 HV10;
3#有裂紋螺栓硬度:187~194 HV10;
有裂紋的2#和3#兩件螺栓的硬度值要明顯高于無裂紋的1#螺栓。
分別對三件螺栓進行化學分析,分析結果三件螺栓化學成分均符合《GB/T 3077-1999》40Cr標準要求。
16.5.2 分析與討論
故障件的宏觀形貌分析,裂紋分布與螺栓軸線方向均存有一定的斜角,表面呈開口狀,表現為材料塑性不夠或冷鐓變形量過大引起的開裂裂紋特征。
對螺栓裂紋微觀形貌的分析表明,裂紋起源處未發現夾雜和表面缺陷,裂紋擴展方式為典型的撕裂擴展,裂紋起源處的韌窩形貌表明裂紋的開裂原因是表面拉力過大或強度不夠造成的。
3件螺栓的化學成分均符合要求。3件螺栓的硬度檢測結果有差異,有裂紋的2#和3#兩件螺栓的硬度值要明顯高于無裂紋的1#螺栓。從
3#
金相組織檢查結果,1#螺栓的球化體可評為6級,組織為為均勻分布的球狀珠光體+鐵素體; 2#和3#螺栓的顯微組織基本相同,球化體可評為4級,組織為球狀珠光體+點狀珠光體+片狀珠光體+鐵素體。由于2#和3#螺栓有片狀珠光體存在,造成硬度值高于無裂紋的1#螺栓,反映出3件螺栓的球化效果有差異。
依據《JB/T 5074-2007》標準,對于冷鐓變形量大于80%的中碳合金鋼,其球化率要求為5~6級。對于本例分析的3件螺栓,其頭部冷鐓的變形量均大于80%,故其球化率要求需在5級以上。通過對螺栓金相分析結果來看,有裂紋存在的2#和3#螺栓的球化率只有4級,硬度值稍高,滿足不了螺栓冷鐓變形的要求,冷鐓變形開裂。而未發現裂紋的1#螺栓的球化率為6級,硬度值適中符合要求,冷鐓變形沒有開裂。
由于螺栓頭部冷鐓變形量大,螺栓冷鐓前的球化率不夠,滿足不了螺栓冷鐓變形的要求,造成螺栓冷鐓時頭部冷鐓開裂。
16.5.3 結論與啟示
(1) 螺栓頭部裂紋是由于原材料球化率不夠引起的冷鐓開裂。
(2) 對頭部冷鐓變形量大的螺栓,原材料的球化率要滿足工藝要求。
(2) 冷鐓變形量大的螺栓對原材料要提出硬度和球化率的要求;其退火工藝要保證得到滿足工藝要求的硬度和球化率。






浙公網安備 33042402000106號 a>

